Почему ломит кости
Каждый из нас хотя бы раз в жизни сталкивался с таким неприятным ощущением, как боль в костях, однако для некоторых людей данный симптом может стать весьма проблематичным, так как носит постоянный характер. Состояние, при котором ломит кости может быть как симптомом, входящим в клиническую картину какого-либо заболевания, так и отдельным независимым состоянием. Давайте более подробно разберем почему ломит кости, какие на это есть причины и как с такой болью бороться.

Почему болят кости?
Боль в костях может иметь совершенно разный характер и зачастую проявляется сугубо индивидуально у каждого отдельно взятого человека, однако по характеру болевых ощущений уже можно сделать предположение в том или ином направлении, чтобы более эффективно начать полноценную диагностику.
Боль в костях на медицинском языке называется оссалгия и характеризует большое количество состояний и заболеваний.
Не связанные с заболеваниями
Порой боль в костях и мышцах всего тела не связана с каким-либо заболеванием и носит транзиторный характер, т.е. проходит, если устранить фактор, который повлиял на возникновение таких болевых ощущений. К таким факторам можно отнести:
- Большую физическую активность. Нагрузка, связанная с перенапряжением опорно-двигательного аппарата может вызвать большое количество микротравм мышечных волокон, перерастяжение мышечных сухожилий и соответственно болевые ощущения в костях конечностей. Такая боль носит непостоянный характер и проходит самостоятельно без применения медикаментозной терапии в течение нескольких дней. Боль в костях ног и рук в данном случае носит острый характер.
- Избыточная масса тела. Лишний вес или даже ожирение неменуемо приводит к повышенной нагрузке на костно-суставной аппарат организма человека, что приводит к изменениям в клеточном и химическом составе костной ткани, а также может вызвать деформацию при высоких степенях ожирения. Чаще всего пациенты страдающие ожирением предъявляют жалобы на боль в костях ног.
- Возрастные изменения. В пожилом возрасте происходят необратимые медленные дегенеративные изменения во всём организме, в том числе страдает и опорно-двигательная система. Костная ткань подвергается процессу деминерализации, что приводит к истончению костей и снижению их гибкости. Ухудшение питания костной ткани и замедление метаболических процессов вполне может привести к появлению периодических болевых ощущений в костях самой различной локализации.
Связанные с определёнными болезнями
Намного чаще боль в костях возникает как отдельный характерный симптом какого-либо заболевания, что значительно ухудшает положение дел, так как в таком случает требуется лечение, а лечение в свою очередь далеко не всегда быстрое и лёгкое. Оссалгия может возникать при большом количествен заболеваний, так что давайте рассмотрим те из них, которые встречаются чаще всего и имеют определённую актуальность.
Травматические повреждения
Травмы опорно-двигательного аппарата всегда были актуальной проблемой, а в реалиях современного мира при высоком количестве технических средств проблема высокого травматизма приобрела еще более выраженный характер. Травмы полученные в результате различных происшествий и аварий могут повлечь не только стойкую утрату трудоспособности, но и проблемы связанные с формированием хронического болевого синдрома. У многих людей перенёсших переломы возникают посттравматические расстройства нервной системы, которые проявляются в виде периодического возникновения болей в проекции сросшегося перелома. Больные часто характеризуют такую боль выражением – ломит кости. Боль ноющая с самой различной интенсивностью. К сожалению, в настоящее время данная проблема изучена не достаточно глубоко, так что эффективного купирования таких приступов на данный момент не создано.

Ревматизм
Ревматизм или более правильное название острая ревматоидная лихорадка – заболевание системного характера и аутоиммунной природы. При котором происходит поражение соединительной ткани больного, в том числе происходит поражение опорно-двигательного аппарата. Ревматоидная лихорадка проявляется поражением эндокарда сердца, однако при этом заболевании зачастую страдают еще и суставы с костями. Основным симптомом ревматоидной лихорадки уже на ранних стадиях как раз и становится чувство ломоты костей ног из-за развития воспаления в крупных суставах нижних конечностей. Заболевание может возникнуть после перенесённого в прошлом тонзиллита или ангины, причём сам больной зачастую самостоятельно не может связать два этих заболевания, что затрудняет своевременное лечение. В появлении таких симптомов виноват бета гемолитический стрептококк, который у некоторых людей может вызвать извращённую иммунную реакцию, в ходе которой собственный иммунитет начинает воспринимать ткани организма как чужеродные и вырабатывает на них иммунные комплексы и разрушающие их биологически активные вещества. Ревматоидный артрит серьёзное заболевание, которое требует грамотной и длительной консервативной терапии.
Артроз
Артроз – ещё одно широко распространённое среди населения заболевание опорно-двигательного аппарата, одним из самых частых симптомов которого является боль в костях и суставах. Артроз – заболевание дистрофического характера, которое можно охарактеризовать медленным повреждением соединительной и костной ткани в организме больного артрозом человека. Дегенеративные изменения в архитектонике костной ткани приводят к медленной деформации концевых отделов длинных трубчатых костей конечностей, что в медицинской практике называется деформирующим артрозом. После 30 лет риск возникновения артроза увеличивается вдвое каждые 10 лет, так что у людей старше 60 лет артроз встречается очень часто. Главной причиной развития артроза и связанного с ним болевого синдрома в костях является снижение трофики тканей опорно-двигательного аппарата за счёт ухудшения кровотока в данной области. Из-за разрушения суставных хрящей больные часто жалуются на острые или ломящие боли в костях ног.

Инфекционно-воспалительные заболевания
Инфекционные заболевания могут поражать костную ткань, что приводит к возникновению сильного болевого синдрома с болью в поражённых костях. Инфекционные заболевания с поражением костной ткани встречаются довольно редко в сравнении с другими формами, однако отличаются тяжёлым течением заболевания. Часто при инфекционной природе заболевания поражается область коленного сустава и кости голени, что приводит к возникновению боли в берцовой кости. Одним из самых тяжёлых воспалительных заболеваний, при которых поражается костная ткань является остеомиелит. При данном заболевании происходит гнойное повреждение костной ткани в результате распространения инфекционного агента внутри кости. Остеомиелит может стать последствием открытого перелома с загрязнением раны или операции выполненной с нарушением правил асептики и антисептики. Так как остеомиелит чаще всего затрагивает только одну анатомическую область, то и болевые ощущения соответственно проявляются в проекции места воспаления.
Подагра
Довольно редкое заболевание, связанное с нарушением обмена пуриновых оснований. При подагре в суставах происходит отложение кристаллов мочевой кислоты, что приводит к их быстрому повреждению и деформации. Подагрические приступы сопровождаются возникновением сильных болей в мелких суставах и костях, что приводит к скованности в движениях.

Остеопороз
Еще одно дегенеративное заболевание, которое возникает вследствие нарушения метаболических и обменных процессов в организме, зачастую связанных с возрастными изменениями в биохимических процессах организма. Развитие остеопороза напрямую связано с обменом ионов микроэлемента – кальция витамина Д из группы жирорастворимых витаминов. Остеопороз развивается при недостаточной концентрации ионов кальция в остеокластах костной ткани, что приводит к снижению упругости костей и повышенной их хрупкости. Несмотря на то, что в большинстве случаев остеопороз развивается в старческом возрасте, заболевание может возникнуть в любом возрастном промежутке из-за патологии со стороны эндокринной системы. Так остеопороз может развиться в результате нарушения функционирования гормонов паращитовидных желёз, которые вырабатывают паратгормон – гормон, оказывающий непосредственное влияние на обмен кальция в организме. В клинической картине остеопороза преобладает симптом боли в костях и мышцах всего тела, так как из-за нарушения ионного баланса в организме у больных зачастую возникает судорожный синдром.
Онкологические заболевания
Отдельно стоит поговорить об онкологических доброкачественных и злокачественных новообразованиях, которые могут поражать опорно-двигательный аппарат как первично, так и вторично – путём метастазирования опухолевых клеток. Костная ткань относится к тканям соединительнотканного типа и в состав включает большое количество фиброзной соединительной ткани. Соединительная ткань обладает наибольшим потенциалом к формированию онкологических процессов. Как правило, болевой синдром при поражении костной ткани имеет весьма выраженный характер, который в тяжёлых случаях может привести к формированию суицидальных мыслей у онкологического больного.
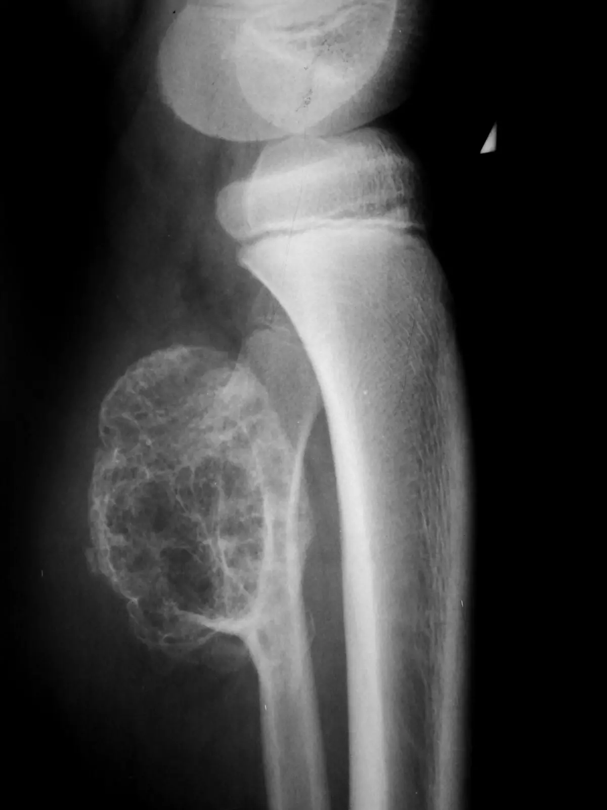
Саркома
Злокачественные опухоли поражающие костную ткань первично объединяют под общим названием – саркома. Под термином саркома объединены все злокачественные новообразования, происходящие из костной ткани, мышц, адипоцитов и фиброзных соединений. В зависимости от поражённой кости и будет формироваться локализация болевых ощущений.

Онкопатология гемопоэтической ткани
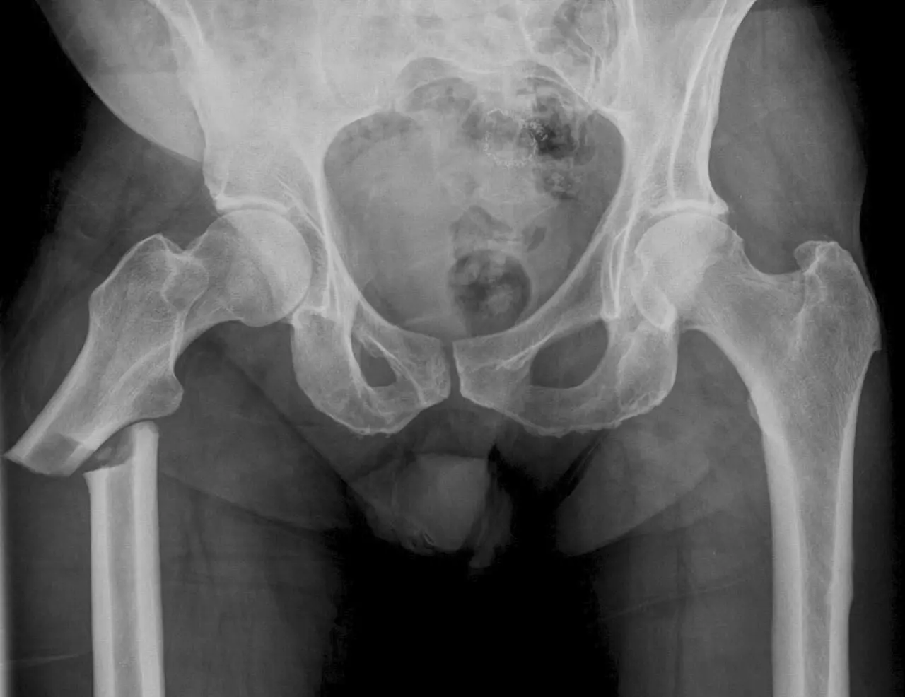
К группе таких заболеваний относят лейкозы, лейкемии и множественную миелому. Все эти заболевания характеризуются повреждением красного костного мозга, который выполняет кроветворную функцию. Зачастую злокачественные опухоля связанные с повреждением костного мозга обладают выраженным клеточным атипизмом, что негативно влияет на течение заболевания. Быстрый рост и сопутствующее повреждение костей вызывают выраженные боли в костях имеющих губчатую структуру строения, например в костях черепа, рёбрах и телах позвонков. Часто онкологические больные отмечают боль в тазовых костях.
Вторичное поражение костной ткани
Может произойти при любых видах злокачественных новообразований в результате метастазирования опухоли. Так как костная ткань богато кровоснабжается, то и риск формирования метастазов в костную ткань крайне высок.
Доброкачественные опухолевые процессы
Доброкачественные опухоли костей, такие как:
- Остеобластома;
- Остеоид-остеома;
- Хондромиксоидная фиброма;
- Остеохондрома.
Вышеперечисленные доброкачественные новообразования также могут вызывать выраженный болевой синдром в костях при крупных размерах опухоли.

Причины боли в зависимости от локализации
Важно иметь представление о топической диагностики болевых ощущений в костях, так как при правильной их интерпретации результаты могут ускорить дифференциально-диагностический поиск болезни вызвавшей болевой синдром.
- Боли костей черепа – могут возникать в результате поражения костного мозна онкологическим процессом. Часто болевой синдром с локализацией болей в черепе характеризует миеломную болезнь и может стать ориентиром в правильном назначении диагностических исследований.
- Боли в костях ног могут иметь причины совершенно разнообразные, от посттравматического болевого синдрома, до воспалительных и дегенеративных изменений в костной ткани.
- Боль в пяточной кости причины: травма пяточной области с формированием трещины или перелома пяточной кости, пяточная шпора.
- Боль над лобковой костью – может возникнуть в результате травмы одной из ветвей лобковой кости при переломах таза или же может ошибочно расцениваться, как боль в костях, однако будет связана с заболеваниями органов малого таза.
- Боль в бедренной кости может быть связана с травматическим повреждением в результате остеопороза, или сильного удара в область повреждённой нижней конечности. Боль в бедре также может возникнуть из-за онкологического процесса.
- Боль в костях рук и ног причины: деформирующий остеоартроз, ревматизм, остеопрозоз.
Лечебная тактика
Важный вопрос, что делать если ломит кости? Первым делом незамедлительно обратитесь к лечащему врачу за консультацией или одному из следующих специалистов: ревматолог. травматолог ортопед, хирург, онколог. Практически все заболевания симптомом которых является ломота в костях относятся к профилю заболеваний входящих в компетенцию данных специалистов. Своевременное обращение за консультацией и квалифицированной помощью поможет Вам избежать развития серьёзных осложнений и других последствий основного заболевания спровоцировавшего болевой синдром в костях. В зависимости от причин и локализации болевого синдрома лечение будет сильно различаться.
- Ломит кости рук – скорее всего причина данного недуга артроз – лечение данного заболевания входит в компетенцию специалиста травматолога. Лечение заключается в назначении системных глюкокортикостероидов и других противовоспалительных препаратов, а также проведение консервативных мероприятий по улучшению трофики костной и фиброзной тканей путём витаминотерапии, применения хондропротекторов и курсовых физиопроцедур.
- Ломит кости ног – одна из самых частых причин ревматизм или тот же артроз. При артрозе лечение будет аналогично вышеописанному, а при ревматизме лечением будет заниматься специалист ревматолог.
- Боли в рёбрах или черепе, а также боли с высокой интенсивностью – частый симптом онкологических заболеваний протекающих с поражением костной ткани. В данном случае необходимо исключить или подтвердить наличие онкологического процесса. Лечением новообразований занимаются специалисты – онкологи совместно с травматологами.
Подводя итог важно еще раз отметить, что занятие самолечением крайне не рекомендуется, так как симптом боли и ломоты в костях может быть признаком серьёзного поражения организма, требующего незамедлительного и сложного лечения. Провести правильную диагностику и установить клинический диагноз, после чего будет проведено максимально эффективное лечение может только высококвалифицированный специалист, так что внимательно относитесь к своему организму и будьте здоровы.
Программы:
Другие статьи по теме:
*Материалы, размещенные на данной странице, носят информационный характер и предназначены для образовательных целей. Посетители сайта не должны использовать их в качестве медицинских рекомендаций. Определение диагноза и выбор методики лечения остается исключительной прерогативой вашего лечащего врача! Клинический Институт Мозга не несёт ответственности за возможные негативные последствия, возникшие в результате использования информации, размещенной на сайте neuro-ural.ru.
















